
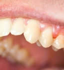
Gengivite e doenças periodontais estão diretamente relacionadas a complicações em outras partes do corpo. Nas mulheres, isso também pode ocorrer durante a gestação e pode causar parto prematuro e de baixo peso.
Alguns estudos propõem que as infecções bucais, como a periodontite, podem funcionar como uma fonte de infecção que estimula uma reação inflamatória, que seria uma ameaça ao bebê.
Por outro lado, nesse período, as alterações hormonais podem favorecer o aparecimento da gengivite. Isso ocorre tanto porque os hormônios influenciam na capacidade de defesa do organismo, mas também porque há maior vascularização local e os pequenos vasos sanguíneos da boca se tornam mais frágeis.
Fertilidade
Uma pesquisa da Universidade do Oeste da Austrália mostrou que mulheres com gengivas doentes precisaram de sete meses para conceber, dois meses a mais do prazo considerado normal, de cinco meses.
A vilã, de novo, é a inflamação que pode prejudicar o funcionamento do organismo. “A inflamação da gengiva pode se alastrar no organismo, causar uma infecção no útero e até mesmo no coração. Mas quanto à fertilidade, ainda são poucos os dados que mostram essa relação”, diz a médica Claudia Gomes, especialista em reprodução humana do Grupo Huntington.
Caso o quadro de gengivite seja constatado, com um tratamento no dentista e controle da inflamação, as chances de engravidar voltam ao normal. “Como a pesquisa mostra, não foi uma infertilidade definitiva. A partir do momento que ela tratar, a função volta ao normal. O tratamento consiste numa limpeza bucal, na verificação de outros problemas e no uso de antibióticos”, afirma Claudia.