
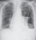
A Comissão de Seguridade Social e Família discute hoje, às 14h30, aspectos relacionados à linfangioleiomiomatose (LAM). A LAM é uma doença rara que com o tempo causa a obstrução dos pulmões.
O debate foi sugerido pelo deputado Diego Garcia (PHS-PR) e Alan Rick (PRB-AC). Os parlamentares destacam que a LAM se caracteriza pela proliferação desordenada de células musculares lisas e não tem etiologia muito bem conhecida.
“Em que pese a gravidade dessa moléstia, sabemos que a sociedade brasileira, de uma forma geral, desconhece completamente seus sintomas, formas de diagnóstico, precauções e o tratamento utilizado”, afirma Garcia.
Foram convidados:
- um representante do Ministério da Saúde; e
- o coordenador do Departamento de Pneumologia da USP, Bruno Guedes Baldi.
O debate será realizado no plenário 8.