
Inovação e funcionalidade são as palavras que com mais clareza descrevem o Sistema Trainer, desenvolvido pela empresa australiana Myofuncional Research CO.
O Sistema Trainer é um conjunto de aparelhos odontológicos feitos de silicone, removíveis, fáceis de usar e de higienizar, desenvolvidos para reeducar os mau hábitos orais como a respiração bucal, a força que a língua exerce sobre os dentes, a forma incorreta de engolir a saliva e outros maus hábitos que causam alinhamento inadequado dos dentes, desenvolvimento facial incorreto, e a volta de antigas imperfeições após outros tratamentos.
Estudos recentes mostram que a posição incorreta dos dentes nem sempre é hereditária, e sim provocada pela forma com que engolimos a saliva e respiramos. A musculatura facial e mastigatória e a força provocada pelos lábios e língua são fundamentais para a posição correta dos dentes. A intervenção precoce nesses hábitos evita que casos simples tornem-se complicados.
Os Trainers simulam um exercício para língua, evitando que ela se interponha entre os dentes, incentivam a respiração pelo nariz e evitam o contato entre o lábio inferior e os dentes, proporcionando um melhor alinhamento, desenvolvimento facial correto, e contribuindo para a auto-estima.
Enquanto a maioria dos tratamentos exige uso permanente, o Sistema Trainer pode ser usado somente à noite, durante o sono, e de uma a duas horas enquanto o paciente estiver acordado.
Os aparelhos Trainer possuem duas versões para crianças: o T4I Infant Trainer que exercita a mordida correta e ajuda a criança a largar a chupeta, indicado para crianças de 2 a 5 anos, e o T4K que corrige os hábitos orais e melhora a posição dos dentes, próprio para crianças de 6 a 12 anos. Para adolescentes e adultos que não querem usar o aparelho fixo, o T4A e o Myobrace são ideais, pois são usados somente à noite e não precisam de moldes. Para os que sofrem de dores da ATM, bruxismo, ronco e apnéia, os aparelhos TMJ, Bruxogard, TMJ MBV e TMJ Snorer são alternativas, acabando com as dores de cabeça, o desgaste e a sensibilidade dos dentes, possibilitando conforto e melhorando a qualidade de vida de quem convive estes problemas.
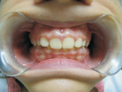
Abaixo fotos de casos de sucesso do Tratamento com o Sistema Trainer:
Classe II - Divisão II - Após - 7 meses de tratamento:
| Antes |
Depois |
 |
 |
Tratamento Classe I - Biprotusão :
| Antes |
Depois |
 |
 |
Sensibilidade na região esquerda da ATM (Articulação Temporo mandibular):
| Antes |
Depois de 8 meses |
 |
 |
Obs.: Procure um especialista na área para avaliar a possibilidade de uso do aparelho para cada caso específico.